Signed in as:
filler@godaddy.com
Signed in as:
filler@godaddy.com
Complete systematic abdominal ultrasound with radiologist review, diagnostic and treatment recommendations.
Thyroid/parathyroid scans and fine needle aspirates are available for palpable masses or hypercalcemia requiring cervical imaging.
Thoracic scanning for radiographically visible thoracic masses (pulmonary or mediastinal), and ultrasound guided tissue or fluid collection. Includes T-fast of thoracic structures.

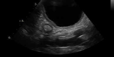
An evaluation of every abdominal organ for size, margination, echotexture, and neoplasia. All standard abdominal measurements will be acquired according to the current ACVR protocol

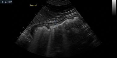
Screening of the gastrointestinal tract for foreign material

Evaluation and measurements of the intestinal wall layers. Includes screening for intestinal masses, inflammatory disease, and gastrointestinal lymphoma

Pregnancy evaluation and due date estimation

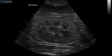
Screening of the the urinary and biliary tract for stones, accumulated material, obstructions, or evidence of congenital defects

Acquisition of fine needle aspirates if desired. Diagnostic and therapeutic body fluid sampling (cystocentesis, abdominocentesis, thoracocentesis)
The price of our studies includes a full radiologist or cardiologist written report, diagnosis and treatment recommendations. We are working with South Sound Veterinary Imaging, a Tacoma, WA based telemedicine service.

